Skip to content

For a limited time, receive a complimentary CBCT scan when you schedule your comprehensive New Patient Exam - Read More

Top Down Dental Logo Top Down Dental Logo Top Down Dental Logo
  • Home
  • About
    • Dr. Nancy Nehawandian
    • Dr. Rana Alan
    • Meet Our Team
    • Dental Technology
    • Dental Financing
    • Reviews/Success Stories
  • Services
    • Cosmetic Dentistry
    • Holistic Dentistry
      • Ozone Therapy
      • Mercury Free Dentistry
      • Curodont® Treatment
      • Cervitec® Advanced Gum Protection
    • General Dentistry
    • TMJ Treatment
    • Sleep Apnea Treatment
    • Invisalign
    • View All
  • Mercury Safe Dentistry
  • Patient Forms
  • Patient Education
    • Patient Profiles
  • Contact
  • (408) 354-5600
    Call Today!
    (408) 354-5600
Top Down Dental logo

Patient Profiles

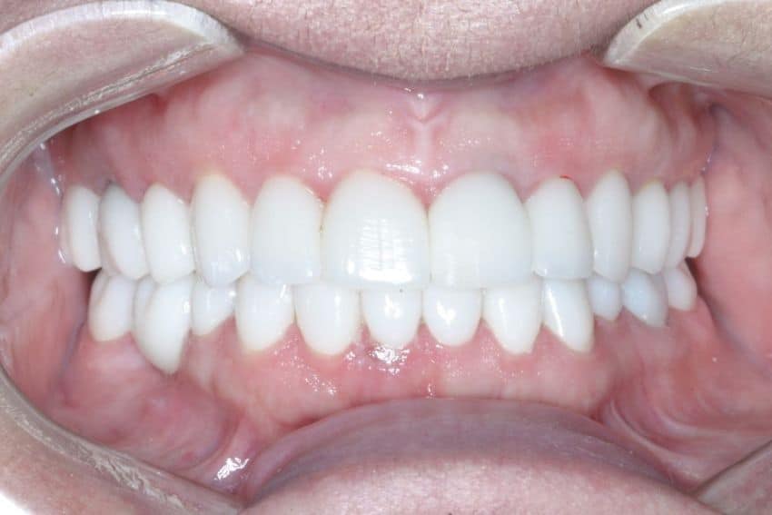
  • Veronica’s Journey To Pain Relief And A Confident Smile
    Gallery

    Veronica’s Journey To Pain Relief And A Confident Smile

    Veronica’s Journey To Pain Relief And A Confident Smile

    Dr. Nancy Nehawandian |
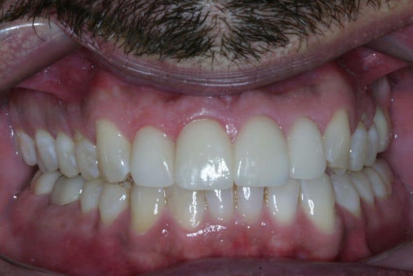
  • Victor’s Path To Better Health And A Restored Smile
    Gallery

    Victor’s Path To Better Health And A Restored Smile

    Victor’s Path To Better Health And A Restored Smile

    Dr. Nancy Nehawandian |
  • hand holding a custom crown
    Renewed Smile: Diane’s Journey to Restored Teeth
    Gallery

    Renewed Smile: Diane’s Journey to Restored Teeth

    Renewed Smile: Diane’s Journey to Restored Teeth

    Dr. Nancy Nehawandian |

Contact Info

Top Down Dental

250 Blossom Hill Road, Suite 100
Los Gatos CA 95032

(408) 354-5600
FacebookYouTubeGoogle My BusinessInstagramYelp

Office Hours

Monday 8:30AM – 5:30PM
Tuesday 8:30AM – 5:30PM
Wednesday 7:30AM – 4:30PM
Thursday 8:30AM – 4:30PM
Request Appointment
All Rights Reserved © 2026 Top Down Dental | Website by Pro Impressions Marketing | Notice of Privacy Policies | Sitemap
Page load link
Home
Book Now
Call Us
Find Us
Menu

Top Down Dental

  • Home
  • About
    • Dr. Nancy Nehawandian
    • Dr. Rana Alan
    • Meet Our Team
    • Dental Technology
    • Dental Financing
    • Reviews/Success Stories
  • Services
    • Cosmetic Dentistry
    • Holistic Dentistry
      • Ozone Therapy
      • Mercury Free Dentistry
      • Curodont® Treatment
      • Cervitec® Advanced Gum Protection
    • General Dentistry
    • TMJ Treatment
    • Sleep Apnea Treatment
    • Invisalign
    • View All
  • Mercury Safe Dentistry
  • Patient Forms
  • Patient Education
    • Patient Profiles
  • Contact
  • (408) 354-5600
    Call Today!
    (408) 354-5600
Go to Top