When Veronica first visited our San Jose dental office, she was looking for more than just a routine dental checkup. She had spent years struggling with the debilitating effects of TMJ disorders, which impacted her daily life in ways that went far beyond her oral health.
Overcoming Chronic TMJ Pain And Discomfort
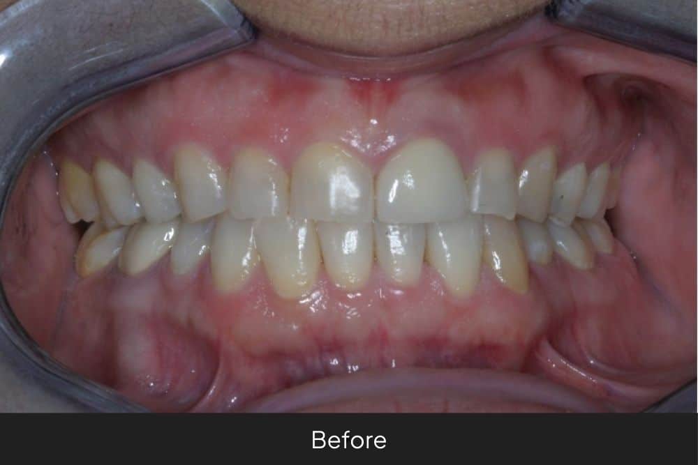
Veronica’s daily experience was defined by persistent physical discomfort and the stress that comes with chronic pain. She suffered from frequent clenching and grinding, which led to intense neck and shoulder aches, migraines, and even bouts of vertigo.
The physical toll was matched by a significant loss of self-esteem. Years of dental stress had worn her teeth down, making her feel embarrassed to smile or speak openly in social settings. At Top Down Dental, we recognize that dental issues are often connected to your overall physical and emotional well-being. Our team focuses on holistic dentistry to address these root causes rather than just treating the symptoms.
A Health-Centered Approach To Full Mouth Rehabilitation
To help Veronica find lasting relief, we developed a comprehensive plan divided into two distinct phases. This approach allowed us to prioritize her comfort and the functional alignment of her jaw before focusing on the final aesthetic results.
Phase One: Stabilizing The Jaw And Relieving Tension
We began by performing a detailed analysis of her bite using advanced dental technology. This included taking EMGs of her muscles and using jaw-tracking instrumentation to identify her optimal physiologic position.
Based on this data, we created custom daytime and nighttime appliances to reposition her teeth and relax her jaw muscles. Veronica soon noticed that the tension in her jaw began to melt away, and the frequency of her migraines and shoulder pain decreased significantly. This phase was essential to ensure her long-term comfort through TMJ treatment before moving forward with permanent restorations.
Phase Two: Restoring Function And Beauty
Once Veronica’s jaw was stable and pain-free, she was an excellent candidate for a full mouth rehabilitation. We used a gentle, health-focused approach to place high-quality crowns on all of her teeth, carefully aligning her bite to its natural, relaxed position.
This second phase eliminated her need for dental appliances and provided a permanent solution for her bite alignment. The results were life-changing, as her new smile was not only functional and healthy but also beautiful.
A Smile That Truly Reflects Her Confidence
Today, Veronica is no longer held back by the fear of showing her teeth or the burden of daily migraines. She greets our team with a wide, unguarded smile that reflects the confidence she has regained throughout her treatment journey.
Her story is a testament to the power of integrative, whole-body dental care. By focusing on the relationship among the jaw, muscles, and teeth, we helped her achieve a smile that feels natural and a body that feels healthy. If you’re ready to achieve your new smile, contact our office today at (408) 354-5600 to discuss treatment options.


